Acidentes vasculares cerebrais isquémicos

Tratamento de acidentes vasculares cerebrais isquémicos

Ícone neurovascular

Esteja a postos para enfrentar novos desafios no tratamento de acidentes vasculares cerebrais isquémicos

 

Observamos um forte aumento das intervenções de trombectomia como tratamento de primeira linha de pacientes1 com acidente vascular cerebral isquémico. Existe também uma mudança de seleção de paciente com base no tempo para seleção de paciente com base na imagem nesta área. O nosso conjunto Neurovascular foi desenvolvido para ajudar a lidar com estas tendências. Pode suportar elevados níveis de eficiência processual e redefinir os resultados para os seus pacientes com acidente vascular cerebral.

Produtos destacados para este procedimento

    Cartões de procedimento

    Cartões de procedimento

    Um hospital reduziu o tempo de preparação no laboratório com o apoio dos Cartões de procedimento.2

    Ajudar a simplificar e padronizar a configuração do sistema

    Ajudar a reduzir os erros de preparação

    Soluções clínicas para o tratamento de acidentes vasculares cerebrais isquémicos

    Imagem infográfica
    Três CT inteligentes

    Visualização semelhante a TC

     

    O SmartCT Soft Tissue  gera uma visualização tipo TC dos tecidos moles e suporta o diagnóstico de acidentes vasculares cerebrais de três formas. Um exame sem contraste ajuda na deteção de alterações isquémicas precoces. Um exame de fase precoce ajuda a identificar a oclusão proximal. Um exame melhorado de contraste de fase tardia suporta a deteção de colaterais.

    SmartCT Vaso IV

    Verificar a localização e a dimensão de um coágulo

    O SmartCT Vaso permite a visualização para além do coágulo com imagens peri-procedimento dos aspetos do vaso distal nos acidentes vasculares isquémicos. O SmartCT Vaso é uma técnica de aquisição baseada no exame de TC de feixe cónico e numa injeção de contraste intra-arterial. Permite a visualização para além do coágulo com as imagens peri-procedimento dos aspetos do vaso distal nos acidentes vasculares isquémicos. Através do enchimento retrógrado, as estruturas do vaso antes e depois do coágulo ficam visíveis. O SmartCT Vaso 3D Roadmap pode ser utilizado para visualizar dispositivos de recuperação do coágulo.

    Consulte enchimento colateral

    Visualização de enchimento colateral

    A vista dupla para visualização de volumes de TC de feixe cónico de fase precoce e tardia lado a lado melhora a identificação da penumbra e permite a visualização do enchimento colateral.

    Verificação de hemorragias peri-procedimento

    SmartCT SoftTissue

    Utilize imagens SmartCT SoftTissue (tipo TC) no conjunto Neurovascular para verificar o sucesso do tratamento e a existência de hemorragias.

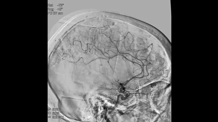
    Imagens nítidas com DSA 2D com tecnologia ClarityIQ

    DSA 2D com tecnologia ClarityIQ

    O ClarityIQ aplica a compensação automática de movimento durante o DSA em tempo real para manter as imagens dos vasos nítidas. Isto suporta a tomada de decisões confiante ao longo dos procedimentos de acidentes vasculares cerebrais.

    As referências anatómicas suportam uma navegação 3D precisa

    Mapa SmartCT, navegação 3D precisa

    O SmartCT Roadmap fornece referências anatómicas para apoiar a navegação precisa do fio-guia, do cateter e do dispositivo até ao coágulo.

    Confirme o sucesso do tratamento

    Visualização de DSA

    As visualizações de DSA de alta qualidade permitem avaliar se a recuperação completa do coágulo foi alcançada e se partes de coágulo foram dispersas distalmente no cérebro. Pode verificar a restauração do fluxo sanguíneo para a penumbra e verificar se existe hemorragia peri-procedimento.

    Melhorar a visualização do sistema vascular

    Roadmap Pro

    Tome decisões informadas sobre se o coágulo pode ser alcançado e qual o percurso a ser usado. O Roadmap Pro, um mapa avançado de duplo contraste, ajuda a melhorar a visualização de vasos sobrepostos, ao mesmo tempo que equilibra a exposição à radiação.

    Inovações no fluxo de trabalho para o tratamento de acidentes vasculares cerebrais isquémicos


    O Azurion oferece várias inovações de fluxo de trabalho concebidas para ajudar a equipa a trabalhar de forma eficiente e fácil, mantendo simultaneamente o foco no paciente e na gestão da dose de radiação durante intervenções de acidentes vasculares cerebrais isquémicos agudos.

    Azurion dois planos, neuro cerebral
    FlexVision Pro

    O controlo total junto à mesa poupa tempo


    O FlexVision Pro proporciona acesso direto e controlo total de exames de diagnóstico pré-operatórios, informações sobre o paciente e ferramentas de planeamento junto à mesa para poupar tempo e evitar deslocações desnecessárias para dentro e para fora da área estéril. O TSM Pro permite o controlo junto à mesa de imagens e aplicações.

    Trabalhar em conjunto instantaneamente

    Trabalho paralelo instantâneo

    O Trabalho paralelo instantâneo permite que os membros da equipa trabalhem em diferentes tarefas ao mesmo tempo sem interromper o trabalho uns dos outros para reduzir os tempos de procedimento para pacientes com acidente vascular cerebral crítico.

    O controlo total junto à mesa poupa tempo

    Apoio para a cabeça Neuro Azurion

    Pode ser usado para restringir o movimento de pacientes agitados sob sedação consciente a fim de ajudar a reduzir artefactos causados pelos movimentos durante o procedimento.

    Mesa da sala de operação integrada para cuidados intensivos

    Azurion com mesa de operação Getinge Magnus

    A mesa da sala de operação Getinge Magnus pode ser usada para cuidados de emergência e trauma. Está sincronizada com os sistemas de raios X da Philips para tirar partido das soluções avançadas da Philips.

    Azurion 7 M20 pode simplificar os procedimentos

    Azurion 7 C20 em neurologia

    Os sistemas angiográficos de um plano estão a ser cada vez mais utilizados como sistemas de acidentes vasculares dedicados ou como sistemas de reserva em departamentos de neurologia de intervenção juntamente com um sistema de dois planos. O Azurion 7 M20 é compatível com todas as ferramentas de intervenção neurológica avançadas.

    Tratamento de acidentes vasculares cerebrais mais rápido.
    Resultados melhorados.
     

    No que diz respeito a acidentes vasculares cerebrais agudos, todos merecem os melhores cuidados. Atualmente, mais pacientes podem beneficiar da trombectomia mecânica por meio de diretrizes alteradas, que ampliam a janela temporal para o tratamento endovascular.  

    Vídeo DTAS

    Explore os vários procedimentos de terapia neurovascular guiada por imagens

    • Tratamento do aneurisma cerebral

      Tratamento do aneurisma cerebral

      Veja claramente e navegue eficientemente ao tratar aneurismas cerebrais.

      Clique aqui para ler mais
    • Tratamento de AVM

      Tratamento de AVM

      As sofisticadas soluções de imagens neurovasculares da Philips suportam o planeamento, a monitorização médica e as decisões de tratamento com confiança para intervenções de AVM.

      Clique aqui para ler mais

    Isenção de responsabilidade

    A disponibilidade do produto está sujeita a autorização regulamentar do país. Contacte o seu representante de vendas local para verificar a disponibilidade no seu país.

     

    Referências

    1.  www.mdedge.com/neurology/article/107506/stroke/stroke-centers-increase-and-refine-use-thrombectomy?sso=true
    2. Num estudo de simulação com mais de 60 utilizadores globalmente, os resultados foram obtidos durante os testes de utilizadores no período de novembro de 2015 a fevereiro de 2016. Os testes foram concebidos e supervisionados pela Use-Lab GmbH, uma consultora de engenharia de testes de usabilidade independente e objetiva e uma empresa de design de interfaces de utilização. Os testes envolveram 31 profissionais clínicos americanos (16 médicos e 15 técnicos) e 30 profissionais clínicos europeus (15 médicos e 15 técnicos), que realizaram procedimentos utilizando o Azurion num ambiente simulado de laboratório de intervenção. Os resultados dos estudos de caso não são preditivos de resultados noutros casos. Os resultados noutros casos podem variar.
    3. O nível de especialização do utilizador necessário é descrito nas instruções de utilização como o Perfil do operador previsto.
    4. As reconstruções 3D com definições de resolução mais elevada podem demorar mais tempo

    Estamos sempre interessados em colaborar

    Diga-nos como podemos ajudar

    1
    Selecione a sua área de interesse
    2
    Detalhes do contato

    You are about to visit a Philips global content page

    Continue

    You are about to visit a Philips global content page

    Continue

    Nosso site pode ser melhor visualizado com a versão mais recente do Microsoft Edge, Google Chrome ou Firefox.

    É profissional de saúde?
    Por favor, selecione a opção

    Aviso:

    A informação incluída nesta página destina-se exclusivamente a profissionais de saúde.